儿童大脑的灰白质对比没有成人显著,并且儿童对辐射剂量更敏感。在2017年的CT辐射剂量诊断参考水平专家共识中,规定了儿童头部的辐射剂量诊断参考水平,头部CTDIvol为39mGy。

儿童诊断辐射剂量专家共识
中华医学会放射学分会质量管理与安全管理学组.CT辐射剂量诊断参考水平专家共识.中华放射学杂志,2017,51(11):817-822.
如何优化辐射剂量和图像质量呢?以下几种方法可以参考。
神经最佳对比技术BestNeuroContrast
神经最佳对比度旨在提高低对比度分辨率,同时保持噪声不受影响,即提高对比度噪声比,有利于提高图像质量和组织分化或减少辐射剂量。

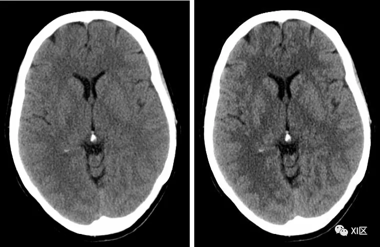
不使用(左)和使用(右)神经最佳对比技术获得的图像对比。
神经最佳对比在特定卷积核中生效,使用带有神经最佳对比技术的特定卷积核即可。H21,H31,H41以及Hr32,Hr36,Hr40,Hr44的卷积核均有此技术,可以比较一下试试看。
迭代重建
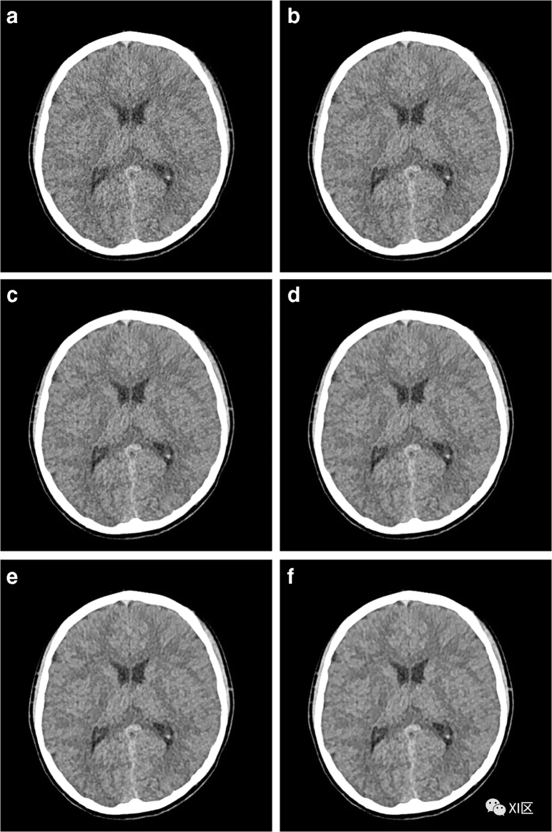
迭代重建本身并不能降低辐射剂量,但是使用迭代重建后,图像质量可以有很好的改善,再次基础上,可以使用更低的条件进行扫描,从而降低辐射剂量。研究发现,使用ADMIRE在降低剂量的儿童头颅扫描中,可以改善主观和客观的图像质量。

6岁女性,头部外伤。低剂量侧脑室水平CT图像(110kV,55mAs)。a-f分别为滤波反投影及strengths1-5ADMIRE重建CT图像比较。
ChoHH,LeeSM,nstruction:focusonimagequalityandreductionofradiationdose[J].PediatricRadiology,2020,50(2).
双能量单能谱图
为了更清晰地显示儿童颅脑的灰白质,有学者使用双能量低keV重建来优化。

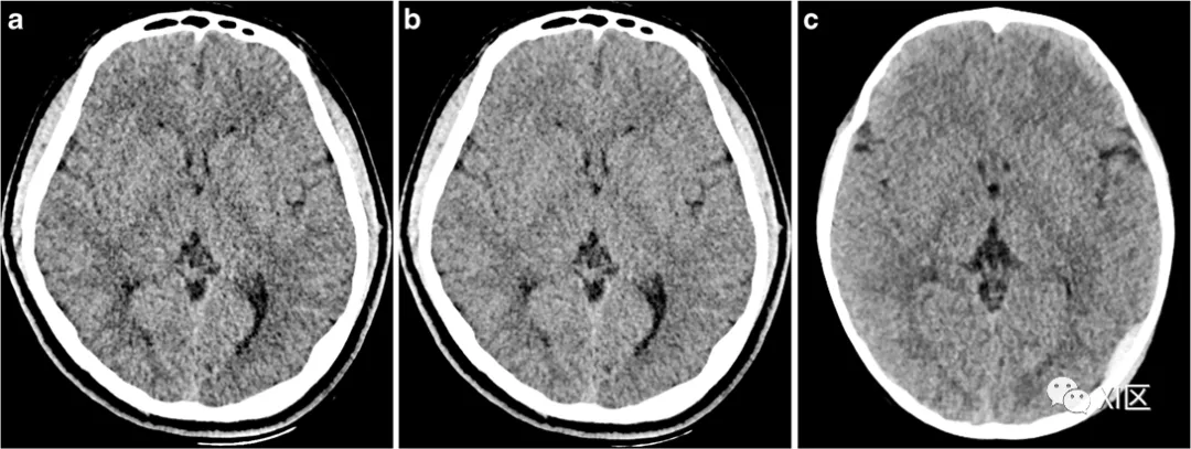
a–c脑实质图像质量在Mono+、Mono和常规CT中的代表性例子。在一名16岁患有颅面发育不良的男孩中使用60keV(a)的Mono+算法和65keV(b)的Mono算法的虚拟单能成像,在一名14岁男孩中使用常规CT扫描(c),在对难治性癫痫进行有创监测后立即进行术后CT。灰-白质对比噪声比在Mono+组最大(3.45),其次是Mono组(3.05)和常规CT组(2.76),因此显示了使用Mono+对灰质和白质的优越区分。
ParkJ,ChoiYH,CheonJE,edbraincomputedtomographyinchildren:comparisonofimagequalityagainststandardmon,2017:1-11.
同时,使用单能谱图可以降低后颅窝的伪影。

一例5个月大的小头畸形合并先天性感染的头部CT平扫轴位重建(a,c)。7个月大的患者行了双能CT平扫检查,以诊断外伤伴枕部肿胀(b,d)。矢状位重建显示,常规CT(c)上的下额叶和后颅窝(箭头所示)存在双能CT(d)上没有的束硬化伪影。
WeinmanJP,MirskyDM,JensenAM,;55:83-88.

双能量头颅CT平扫虚拟单能(40-100kev)范围内的质量指数。(a)信号,(b)灰质噪声,(c)白质噪声,(d)灰质信噪比,(e)白质信噪比和(f)灰白质对比噪声比的质量指数。对于感兴趣的灰质和白质区域,传统的重建算法在70keV时显示出最小的噪声和最大的信噪比,在65keV时显示出最大的对比噪声比。采用改进的重建算法,在60keV时噪声最小,信噪比最大,对比噪声比最大。误差线代表偏离平均值的标准偏差。CNR对比噪声比,GM灰质,SD标准差,SNR信噪比,WM白质。
ParkJ,ChoiYH,CheonJE,edbraincomputedtomographyinchildren:comparisonofimagequalityagainststandardmon,2017:1-11.

CT平扫虚拟单能图像不同能量下的后颅窝伪影指数。使用传统和高级重建算法的后颅窝伪影指数最低值分别出现在75keV和70keV。误差线代表偏离平均值的标准偏差。
ParkJ,ChoiYH,CheonJE,edbraincomputedtomographyinchildren:comparisonofimagequalityagainststandardmon,2017:1-11.
关于双能量单能谱图的临床价值,可以参见:DECT单能谱图的临床应用。
由于儿童对辐射剂量更敏感,在满足诊断的前提下,应该采用尽可能低的辐射剂量,可以通过后处理方法对图像进行优化,以保护儿童患者避免接受多余的辐射。
【版权声明】本平台属公益学习平台,转载系出于传递更多学习信息之目的,且已标明作者和出处,如不希望被传播的老师可与我们联系删除





